By Jennifer Rigby
LONDON (Reuters) – The World Health Organization is working on further guidance for countries on how to mitigate the spread of monkeypox, amid concerns cases could spike further in the summer months, a senior adviser for the U.N.
agency told Reuters.
The WHO’s working theory based on the cases identified so far is that the outbreak is being driven by sexual contact, said David Heymann, chair of the WHO’s Strategic and Technical Advisory Group on Infectious Hazards with Pandemic and Epidemic Potential.
He led a meeting on the outbreak on Friday.
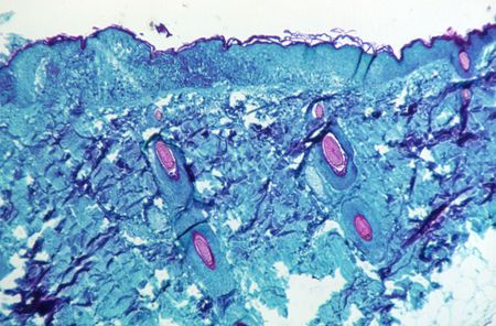
Monkeypox is an infectious disease that is usually mild, and is endemic in parts of west and central Africa. It is spread by close contact, which means it can be relatively easily contained through such measures as self-isolation and hygiene once a new case is identified.
See EXPLAINER:
The outbreak in 11 countries where it is not endemic is highly unusual, according to scientists. More than 100 confirmed or suspected cases have been reported, most of them in Europe.
Heymann, a professor at the London School of Hygiene and Tropical Medicine, said experts were likely to give more guidance to countries in the coming days. Health officials in several countries have warned that cases could rise further at major summer gatherings and festivals.
“What seems to be happening now is that it has got into the population as a sexual form, as a genital form, and is being spread as are sexually transmitted infections, which has amplified its transmission around the world,” Heymann said.
He said the WHO’s meeting was convened “because of the urgency of the situation”. The committee is not the group that would suggest declaring a public health emergency of international concern, WHO’s highest form of alert, which currently applies to the COVID-19 pandemic.
Instead Heymann said the international committee of experts, which met via video conference, looked at what needed to be studied about the outbreak and communicated to the public, including whether there is any asymptomatic spread, who are at most risk, and what the various routes of transmission are.
He said close contact was the key transmission route for the virus as the lesions that are typical of the disease are very infectious. For example, parents caring for sick children are at risk, as well as health workers, which is why some countries have started inoculating the teams treating monkeypox patients using vaccines for smallpox, a related virus.
Many of the current cases have been identified at sexual health clinics.
Early genomic sequencing of a handful of the cases in Europe has suggested a similarity with that spread in a limited fashion in Britain, Israel and Singapore in 2018.
Heymann said it was “biologically plausible” that the virus had since been circulating outside of the countries where it is endemic, but had not led to major outbreaks as a result of COVID-19 lockdowns, social distancing and travel restrictions.
He stressed that the monkeypox outbreak did not resemble the early days of the COVID-19 pandemic because it does not transmit as easily. Those who suspect they may have been exposed or who are showing symptoms, including the typical bumpy rash and fever, should avoid close contact with others, he said.
“There are vaccines available, but the most important message is, you can protect yourself,” he added.
(Reporting by Jennifer Rigby; Editing by Pravin Char)





