By Deena Beasley
(Reuters) – Cases of the viral disease monkeypox in the United States have been identified for the first time in children – a toddler in California and an infant who is not a U.S.
resident, health authorities said on Friday.
The two cases are unrelated and are likely the result of household transmission, the Centers for Disease Control and Prevention (CDC) said in a statement.
The agency said the children are in good health and are being treated.
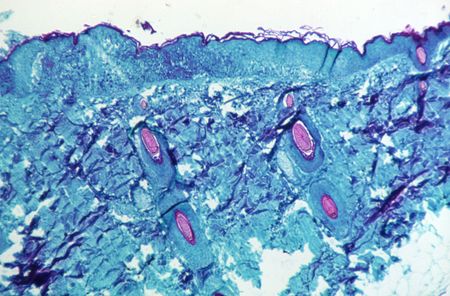
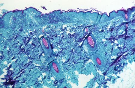
Monkeypox, which causes flu-like symptoms and skin lesions, has been spreading largely in men who have sex with men in the recent outbreak, outside the west and central Africa countries where it is endemic.
The disease spreads chiefly through close contact.
So far this year, there have been more than 14,000 cases of monkeypox in more than 60 countries, and five deaths in Africa.
Speaking on a conference call, Dr.
Jennifer McQuiston, deputy director of the CDC’s division of high consequence pathogens and pathology, said it is not a surprise that pediatric cases of monkeypox have emerged, but “there is no evidence to date that we are seeing this virus spread outside of” the communities of gay, bisexual and other men who have sex with men.
She said 99% of the 2,891 monkeypox cases confirmed in the United States involve men who have sex with men, but there have been a handful of women and transgender men who have become infected.
White House COVID-19 response coordinator Dr.
Ashish Jha, speaking on the same call, said the government has delivered 300,000 doses of a monkeypox vaccine and is working to expedite the shipment from Denmark of 786,000 more doses.
He said there is already enough vaccine on hand to provide a first vaccine dose to more than half of the eligible population in New York City and over 70% of the eligible population in Washington D.C.
The fatality rate in previous outbreaks in Africa of the current strain has been around 1%, but so far this outbreak seems to be less lethal in the non-endemic countries.
However, a number of patients have reported being hospitalized for severe pain.
Jha said the U.S. is still evaluating whether the monkeypox outbreak should be declared a public health emergency.
“We’re looking at that, looking at what are the ways in which the response could be enhanced, if any, by declaring a public health emergency.”
(Reporting by Deena Beasley; Additional reporting by Eric Beech; editing by Grant McCool)










